In einer aktuellen Studie [1] untersuchten Forscher des Universitätsklinikums Ulm die Rolle der Sarkopenie bei Patienten mit Speiseröhren- oder Magenkrebs. Das Hauptziel dieser Studie war es, den Einfluss der Sarkopenie auf die Prognose von Personen zu kategorisieren, die mit diesen Krebsarten diagnostiziert wurden. Darüber hinaus untersuchten die Forscher die Relevanz der CT-Radiomics sowohl für die Diagnose der Sarkopenie als auch für die Prognose der Tumorprogression.
Es wurden die Daten von 83 Patienten analysiert, die sich zwischen 2015 und 2019 einer kontrastmittelgestützten CT-Untersuchung unterzogen. Die Prävalenz der Sarkopenie, definiert durch den Psoasmuskel-Index (PMI), wurde zu drei Zeitpunkten untersucht: Bei Erstdiagnose (t1), nach neoadjuvanter Chemotherapie (t2) und ein Jahr nach der Operation oder Chemotherapie (t3). Die PMI-Werte zeigten eine signifikante Abnahme von t1 zu t2 und von t2 zu t3. Der Krankheitsverlauf wurde anhand der Kriterien für die Auswertung des Ansprechens bei soliden Tumoren (RECIST 1.1) überwacht. Im Durchschnitt zeigten Patienten mit Sarkopenie zu keinem Zeitpunkt häufiger einen progredienten Krankheitsverlauf (PD) als Patienten ohne Sarkopenie.
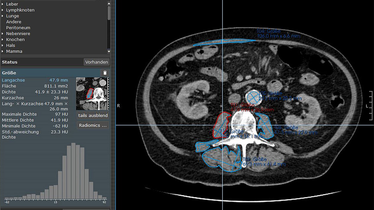
mint Lesion™ wurde für die Segmentierung der Skelettmuskulatur und die Extraktion von radiomischen Merkmalen verwendet. Die Forscher haben den Musculus psoas major, den Musculus erector spinae und den Musculus quadratus lumborum segmentiert und einen umfassenden Satz von 85 radiomischen Merkmalen aus jedem analysierten Muskel extrahiert.
Die Studie nutzte diese radiomischen Merkmale, um eine detailliertere Bewertung der Skelettmuskeln zu ermöglichen. Die Merkmale wurden in verschiedene Typen eingeteilt:
- Formmerkmale, die die Geometrie und Morphologie des segmentierten Skelettmuskels beschreiben, z. B. Volumen, Sphärizität und andere formbezogene Parameter;
- Merkmale erster Ordnung, die die Verteilung der Voxel-Intensitäten innerhalb der definierten Region of Interest (ROI) darstellen, z. B. mittlere Intensität, Median-Intensität und Standardabweichung;
- Merkmale höherer Ordnung, die über einfache Statistiken hinausgehen und komplexere Analysen der Voxelwerte beinhalten, welche die Anordnung und die Beziehungen zwischen den Voxelintensitäten innerhalb der ROI widerspiegeln - z. B. Clustertendenz, Differenzentropie und Summe der Entropie.
"Im Vergleich zur klassischen Muskelsegmentierung liefern die radiomischen Merkmale mehr Informationen für die qualitative Bewertung und damit mehr Potenzial für die Auswertung qualitativer Muster", so die Forscher. "Angesichts der quantitativen und zusätzlich qualitativen Unterschiede in der Skelettmuskulatur von Patienten mit Tumordiagnose und Muskelschwund könnte Radiomics helfen, Sarkopenie zu erkennen und die Tumorprogression vorherzusagen."
Ziel der Studie war es, den diagnostischen und prognostischen Wert der extrahierten radiomischen Merkmale in Kombination mit Modellen des maschinellen Lernens zu bewerten, insbesondere mit dem Entscheidungsbaum (DT), K-nearest neighbors (KNN) und Random Forest (RF). Das RF-Modell erzielte eine hohe Genauigkeit (0,93) und Fläche unter der Kurve (0,97) bei der Vorhersage von Sarkopenie im Musculus psoas major zum Zeitpunkt der Erstdiagnose (t1). Dies zeigt, dass CT-Radiomics und maschinelles Lernen bei der Früherkennung von Sarkopenie und der Vorhersage der Tumorprogression bei onkologischen Patienten eine große Rolle spielen können.
Obwohl die Assoziation zwischen PMI-diagnostizierter Sarkopenie und Krankheitsverlauf keine statistische Signifikanz erreichte, unterstreicht die Studie das Potenzial von CT-Radiomics und maschinellem Lernen in der klinischen Praxis. Sie verdeutlicht den Bedarf an standardisierten Ansätzen und hebt die Rolle innovativer Methoden bei der Verbesserung diagnostischer und prognostischer Prozesse in der onkologischen Bildgebung hervor.
Lesen Sie die Originalpublikation hier.
[1] Vogele D, Mueller T, Wolf D, Otto S, Manoj S, Goetz M, Ettrich TJ, Beer M. Applicability of the CT Radiomics of Skeletal Muscle and Machine Learning for the Detection of Sarcopenia and Prognostic Assessment of Disease Progression in Patients with Gastric and Esophageal Tumors. Diagnostics 2024.



