Eine multizentrische Studie [1] im Rahmen des deutschen Forschungsinfrastrukturprojekts RACOON (Radiological Cooperative Network of the COVID-19 pandemic, ein Projekt des Netzwerk Universitätsmedizin) untersuchte die prognostische Bedeutung von Perikardergüssen (PE) in einer Kohorte von COVID-19 Patient:innen.
"Die prognostische Rolle des Perikardergusses (PE) bei Covid-19 bleibt unklar", so die Forscher. "Erstens ist die genaue Prävalenz dieses Befundes bei Covid-19 unbekannt. Zweitens wurde die prognostische Bedeutung des PE bei Covid-19 nur in wenigen Studien mit einer geringen Anzahl an Patient:innen untersucht. Drittens sind die in diesen Studien berichteten Ergebnisse widersprüchlich. Ziel der vorliegenden Studie war es daher, die prognostische Bedeutung von PE bei Covid-19 Patient:innen in einer großen, repräsentativen Kohorte mit landesweiter Abdeckung und innerhalb eines multizentrischen Rahmens abzuschätzen".
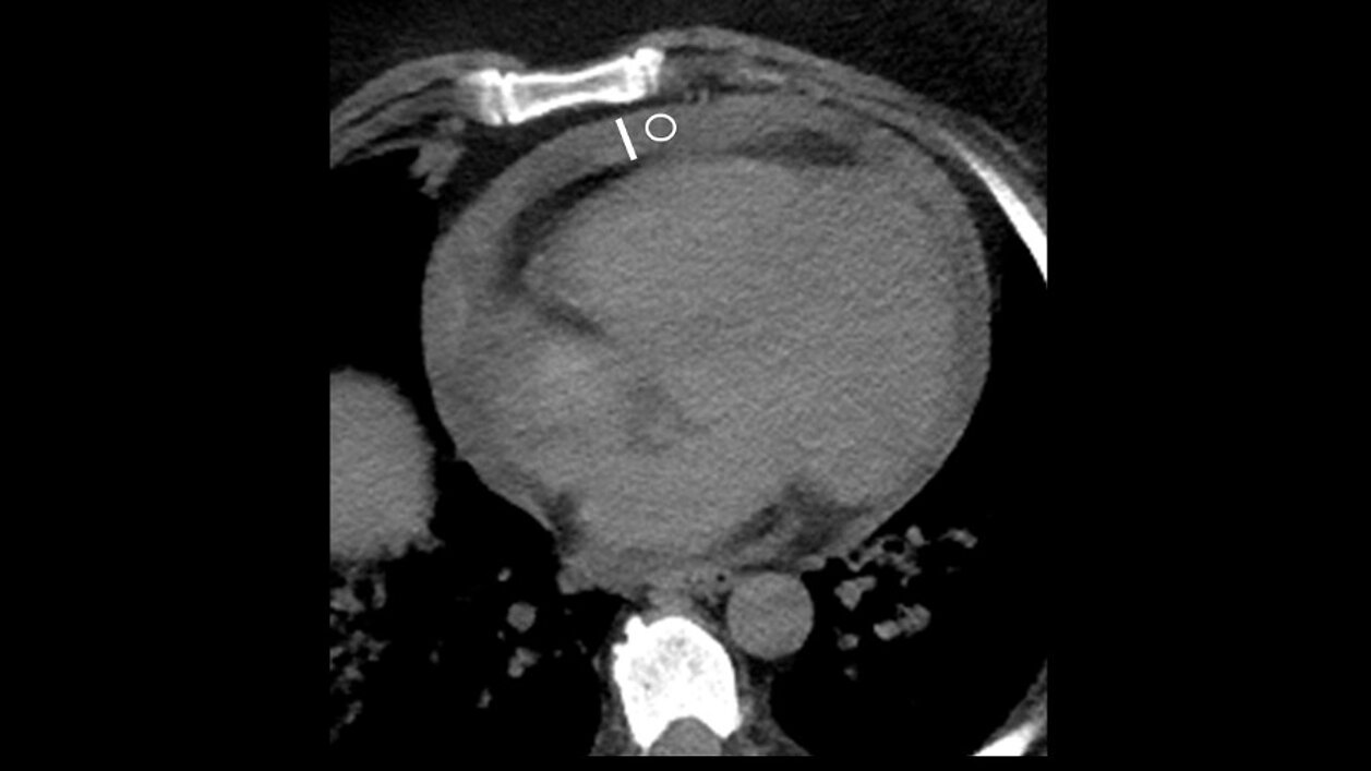
Die retrospektive Studie umfasste Daten von 1197 Patient:innen mit bestätigtem COVID-19, welches mittels Polymerase-Kettenreaktion (PCR) diagnostiziert wurde. Die Forscher:innen konzentrierten sich auf die Prävalenz des PE, seine Korrelation mit klinischen Ergebnissen und seine prädiktive Rolle für die 30-Tage-Sterblichkeit, die Notwendigkeit mechanischer Beatmung und die Aufnahme in die Intensivstation.
Alle Messungen wurden in mint Lesion™ von erfahrenen Radiolog:innen durchgeführt, die gegenüber den klinischen Ergebnissen verblindet waren.
Insgesamt 46,4% der Patient:innen mussten auf die Intensivstation aufgenommen werden, wobei in 26,6% der Fällen eine mechanische Lungenbeatmung durchgeführt wurde. Ein Perikarderguss lag bei 13,3% der Patient:innen vor, wobei dessen Auftreten in Fällen mit tödlichem Ausgang höher war (24% der Patient:innen mit 30-Tage-Mortalität). Bei Nicht-Überlebenden und Patient:innen, die auf die Intensivstation aufgenommen oder mechanisch beatmet werden mussten, war die PE-Häufigkeit höher. Bemerkenswerterweise korrelierte das Vorhandensein von PE nicht mit dem Ausmaß der Lungenschädigung, die mittels CT-Scoring ermittelt wurde (Dichte r = -0,02, p = 0,71 und Breite r = 0,10, p = 0,18).
Die Studie legt nahe, dass der Perikarderguss eine unabhängige Variable für die 30-Tage-Mortalität ist, insbesondere bei männlichen Patienten mit COVID-19 (p-Wert = 0,04). Die Prävalenz von PE war bei männlichen Patienten höher als bei weiblichen (14,7 % vs. 9,9 %, p = 0,051). Die prädiktive Rolle des PE wurde jedoch bei weiblichen Patienten nicht beobachtet.
Die Ergebnisse unterstreichen die klinische Relevanz des PE als bildgebenden Biomarker bei COVID-19-Patienten, der bei der Entscheidungsfindung und Eskalation der Behandlung hilfreich sein könnte. Trotz Limitationen wie dem retrospektiven Studiendesign und dem Fehlen zusätzlicher kardialer Bildgebung bietet die Studie wertvolle Einblicke in die Rolle des Perikardergusses bei der Prognose von Behandlungsergebnissen, was wiederum Auswirkungen auf das zukünftige Krankheitsmanagement und die Forschung hat.
Lesen Sie die Originalpublikation hier.
[1] Bucher, AM, Henzel, K, Meyer HJ et al., Pericardial Effusion Predicts Clinical Outcomes in Patients with COVID-19: A Nationwide Multicenter Study, Academic Radiology 2023



