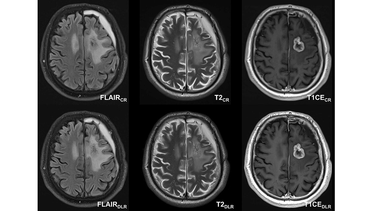
Eine aktuelle Studie des Universitätsklinikums Tübingen untersuchte das Potenzial von mittels Deep Learning rekonstruierten (DLR) Bildern in der Magnetresonanztomographie (MRT) bei IDH-mutierten Gliomen im Vergleich zur traditionellen Bildgebung (CR). Durchgeführt wurde die Studie von einem interdisziplinären Team aus der Neuroradiologie, der Neurochirurgie, Neuroonkologie und Strahlentherapie. Ziel war es, die Messzeitverkürzung, Bildqualität und diagnostische Sicherheit von DLR-Bildern in einem umfassenden diagnostischen MRT-Protokoll zu bewerten, das kontrastmittelverstärkte T1-gewichtete, T2-gewichtete Turbo-Spin-Echo- (TSE) und FLAIR-Sequenzen umfasst.
Die Forschenden stellen die Hypothese auf, dass DLR eine überlegene quantitative und qualitative Bildqualität liefern würde, die allen an der Diagnose und Behandlung von Gliomen beteiligten Fachleuten und dem Patienten zugutekommt.
Die wichtigsten Ergebnisse der Studie lassen sich wie folgt zusammenfassen:
Zeitersparnis: DLR reduzierte die Akquisitionszeiten bei MRT-Untersuchungen signifikant:
- 35,8 % für T1-gewichtete kontrastverstärkte Bildgebung
- 26,9 % für FLAIR-gewichtete Bildgebung
- 26,1 % für T2-gewichtete Bildgebung
Bildqualität: DLR erhielt durchgehend höhere Bewertungen der qualitativen Bildqualität von allen Gutachtenden und über alle Sequenzen hinweg. Die Tumorsichtbarkeit bei DLR war im Vergleich zu CR-Bildern nicht schlechter.
Multidisziplinäre Präferenz: Die Mehrheit der Gutachtenden bevorzugte DLR-Bilder gegenüber CR-Bildern:
- Neuroradiologie: 84%
- Neurochirurgie: 100%
- Neuroonkologie: 92 %
- Strahlentherapie: 84%
Verbesserte Kennzahlen: Die quantitative Analyse zeigte signifikante Verbesserungen im Signal-Rausch-Verhältnis (SNR) und Kontrast-Rausch-Verhältnis (CNR) bei DLR im Vergleich zu CR. Größenmessungen von Läsionen ergaben keine signifikanten Unterschiede zwischen CR- und DLR-Sequenzen gemäß den Kriterien zur Tumorbewertung und dem Therapieansprechen (RANO-2.0-Kriterien).
Die Studie kam zu dem Schluss, dass DLR für die MRT-Bildgebung von IDH-mutierten Gliomen klinisch praktikabel ist. DLR bietet signifikante Zeitersparnisse (durchschnittliche Reduktion der Akquisitionszeit um 29,6%), ohne die Bildqualität oder diagnostische Genauigkeit zu beeinträchtigen. Die starke Präferenz für DLR im interdisziplinären Team unterstreicht das Potenzial, neuroonkologische Arbeitsabläufe zu optimieren und die Entscheidungsfindung zu verbessern.
Mit diesen Ergebnissen stellt DLR einen vielversprechenden Fortschritt in der MRT dar, der schnellere Bildgebung bei außergewöhnlicher Klarheit ermöglicht und die effektive Behandlung von Gliomen unterstützt.
Lesen Sie die Originalpublikation hier.
Ruff, Christer et al. 2024. „Multidisciplinary quantitative and qualitative assessment of IDH-mutant gliomas with full diagnostic deep learning image reconstruction.” European Journal of Radiology Open, Volume 13, December 2024, 100617, doi.org/10.1016/j.ejro.2024.100617.



